預約專線 0800-899997
關於誠楷
為什麼選擇我們?
診所理念
診所資訊
診所環境
│
美齒貼片
關於GlamSmile
案例分享
│
醫師團隊
吳培智 醫師
張豪傑 醫師
龐文楚 醫師
溫旭耀 醫師
李建雄 醫師
陳忻和 醫師
江筑歡 醫師
│
診療項目
微創速得人工植牙
贋復美學
齒顎矯正
牙周治療
flash光照美白
牙齒美白
全口重建All on 4
兒童齒科
檢查和預防保健
│
最新消息
診所公告
媒體報導
│
案例分享
衛教專區
美齒貼片
微創速得
贋復美學
牙齒美白
齒顎矯正
│
線上預約
案例分享share
衛教專區
美齒貼片
微創速得
贋復美學
牙齒美白
齒顎矯正
案例分享
/
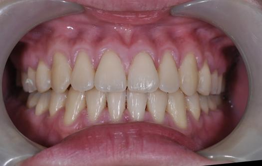
齒顎矯正
齒顎矯正
齒顎矯正
more