預約專線 0800-899997
關於誠楷
為什麼選擇我們?
診所理念
診所資訊
診所環境
│
美齒貼片
關於GlamSmile
案例分享
│
醫師團隊
吳培智 醫師
張豪傑 醫師
龐文楚 醫師
溫旭耀 醫師
李建雄 醫師
陳忻和 醫師
江筑歡 醫師
│
診療項目
微創速得人工植牙
贋復美學
齒顎矯正
牙周治療
flash光照美白
牙齒美白
全口重建All on 4
兒童齒科
檢查和預防保健
│
最新消息
診所公告
媒體報導
│
案例分享
衛教專區
美齒貼片
微創速得
贋復美學
牙齒美白
齒顎矯正
│
線上預約
案例分享share
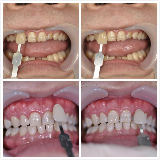
牙齒美白
四環素牙
牙齒美白案例一:周小姐41年次
冷光美白
衛教專區
健康牙齒需要細心呵護
為什麼要洗牙?
懷孕可以看牙嗎?
別等牙疼才就醫! 口腔健檢保健康
小心牙周病 真的要你命!
拔牙後的術後照護
植牙後的術後照護
植牙後的定期保養
美齒貼片
牙齒泛黃
牙縫過大
四環素牙
排列不整
蝴蝶牙
磨牙
微創速得
假牙(牙套)種類
植牙案例二:阮小姐
植牙案例一:82歲全口重建28顆
贋復美學
假牙(牙套)種類
假牙案例
全瓷冠比較圖
齒顎矯正
齒顎矯正
案例分享
/
牙齒美白
冷光美白
2019-02-27
返回列表
線上諮詢
Online consultation
姓名
*
:
性別
*
:
男性
女性
聯絡電話
*
:
E-mail
*
:
Line ID:
方便連絡時段
*
:
諮詢項目
*
:
留言:
認證碼
*
:
看不清,換一張
送出
清除